【学术聚焦】新桥口腔2025病例大赛年度金奖得主黄清川医生专访
2025-10-08 09:42
已接受 次咨询近日,新桥口腔2025病例大赛决赛在新桥口腔成都总院举行,来自新桥口腔成都蜀汉院区的黄清川医生凭借《内倾型深覆合终末期牙列患者全口种植一例》夺得年度金奖,同时,他的另一参赛病例《后牙区即刻种植早期负重一例》获得专科卓越病例奖。

“一个单颗,一个全口,这两个病例各有代表性,也是我自己比较满意的两个作品。”评委点评时提到,这位全口种植患者不仅缺牙多年,还存在咬合问题,属于内倾型深覆合,给修复和咬合重建增加了难度。
黄清川从研究生期间就开始参加各类专业比赛,至今已参加十多次。他认为这是年轻医生提高专业水平的一个非常重要的途径。参赛时可以就不同的病例和其他医生探讨,有机会获得大咖评委们的指导,可以借此结识一些同行,成为志同道合的伙伴。“学生阶段,参赛的是整个团队的病例,工作后,开始有了自己独立完成的病例,参赛时更有成就感。”

黄清川与大赛评委、新桥口腔业务院长刘姗合影
【小档案】
黄清川 新桥口腔成都蜀汉院区种植专业组副主任/口腔修复学硕士
参与国家级临床研究项目/中华医学会第十八次医学美容学术大会、首届牙颌面美学病例评选暨研讨会“价值病例”、“优秀病例”、“人气病例”/第八届“家鸿杯”研究生病例大赛一等奖/武汉大学士卓曼临床种植病例奖学金二等奖
擅长前牙种植、微创种植、即刻种植、半口/全口种植,对瓷贴面/全瓷冠修复、嵌体微创牙体修复等各类口腔修复治疗拥有丰富的临床经验。
【黄清川医生谈获奖病例】
单颗病例:小而精,五步变三步
我的两个参赛病例难点都不在外科(种植手术),而在修复。我是修复专业出身,对于修复一向有着自己的高标准和高要求。这个单颗病例除了整个治疗周期比常规种植更短,还要达到极大程度上还原天然牙外形的这个目标。
单颗是最常规的种植,不能因为常规就觉得简单,治疗时要追求小而精。从适应证把握到术式选择,再到修复方式,术后的结果有没有达到术前预期效果,都需要用心设计,事后复盘。这位患者是一位来自外地的年轻老师,有一颗6号牙需要种植。她只有在暑假两个月的时间内可以来院,希望能在暑假期间完成治疗。
为满足患者的需求,我为她制订了一个即拔即种、种植后早期负重的方案,把五个治疗步骤缩减为三步。首次来院时,我为她完成了拔牙、种牙和安装基台,6周后来院拆线和取模,两周后完成牙冠修复,也就是戴牙。整个治疗周期仅8周,不到两个月就完成了。

这个病例有一个特点,牙齿还在,但没有功能。从表面看牙冠是完整的,但“金玉其外”,内部已经空了,牙根也烂穿了,无法咀嚼也失去了修复的条件,没有保留价值。
6号牙也就是第一磨牙,是最早萌出的恒牙,比较容易龋坏。它虽然不在前牙美学区,不太容易影响容貌,但出于对美学的高要求,我在设计方案时也考虑了是按常规流程先拔牙,再备洞,还是以修复为导向,先按现有的牙冠来确定未来修复体的形状,再去反推种植体植入的位置。后者对医生来说难度更高一些,但更有利于复原天然牙的形态。
为保证这个方案的顺利实施,我通过查阅文献去印证方案的可行性,还为她建议了适合的种植体,原来三个月的骨结合时间能缩短为两个月,种植体功不可没。

全口病例:咬合重建,磨刀不误砍柴功
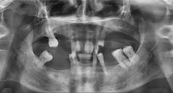
另一个全口种植案例,除了缺牙、骨量等常见问题外,他的咬合还是内倾的深覆合,这是最大的治疗难点。也就是说,患者的咬合不正常,如果按常规的思路种植后直接戴临时牙冠,当他半年后戴上最终牙冠时,整个咬合可能不会理想,到那个阶段再去调整咬合,效果可能不太好,人也比较受罪。
我决定做难但正确的事情。种植手术完成后,我让患者戴上了树脂义齿重建咬合,让他通过日常的咀嚼,在原本平整的下牙义齿上慢慢形成新的尖窝对应关系。前后花了半年时间,才达到稳定且可重复的咬合状态。这时候,再制作第二幅临时义齿,也就是有解剖牙尖和尖窝交错关系的临时牙,让患者再次适应咬合3个月。最后,我把患者适应并且满意的咬合关系转移到他的最终牙冠上,完成了修复治疗。


这位患者不到60岁,但由于后牙全部缺失多年,残留的前牙已松动且上下无法接触,他基本没办法正常咀嚼,人非常消瘦。完成治疗后我跟踪了这个病例一年,从前后对比照片可以看出,能正常吃东西后他的脸上渐渐也有肉了。
“这两个病例让我收获了很多宝贵的经验,也鼓励我在今后的临床工作中继续坚持以修复为导向,把患者需求放在首位,我相信有付出就会有收获!”近期,黄清川将要参加一个全国性的种植案例大赛,目前他正在积极准备,希望届时发挥出最好的状态,祝他再获佳绩!